This site uses cookies to provide logins and other features. Please accept the use of cookies by clicking Accept.
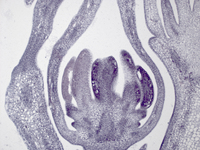
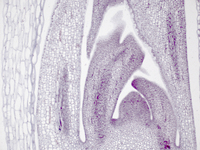
Insitu Experiment "Eca-73-06-01-10"
view
Experiment Info [Edit] [Delete]| Name | Eca-73-06-01-10 |
| Date | 2006-01-10 |
| Tissue | floral buds |
| Stage | young buds, older buds |
| Other info | |
| Type | ? |
| Organism | Eschscholzia californica cv aurantlaca orange |
| Probe | Eca 73 |
| Submitter | David Oppenheimer |
Associated tags [add/remove]: 0
Associated images: 6
|
|
| |||
|
|
| |||
Your Lists
Public Lists
List Contents
List Validation Report: Failed
Elements not found:
Optional: Add Missing Accessions to A List
Mismatched case
Click the Adjust Case button to align the case in the list with what is in the database.
Multiple mismatched case
Items listed here have mulitple case mismatches and must be fixed manually. If accessions need to be merged, contact the database directly.
List elements matching a synonym
Multiple synonym matches
Fuzzy Search Results
Synonym Search Results
Available Seedlots
Your Datasets
Public Datasets
Dataset Contents
Dataset Validation Failed
Elements not found:
Your Calendar
Having trouble viewing events on the calendar?
Are you associated with the breeding program you are interested in viewing?
Add New Event
Event Info
| Attribute | Value |
|---|---|
| Project Name: | |
| Start Date: | |
| End Date: | |
| Event Type: | |
| Event Description: | |
| Event Web URL: |
Edit Event
Login
Forgot Username
If you've forgotten your username, enter your email address below. An email will be sent with any account username(s) associated with your email address.
Reset Password
To reset your password, please enter your email address. A link will be sent to that address with a link that will enable you to reset your password.
Create New User
Working

